Клиническая картина
Если имеет место перелом первой пястной кости, то большой палец загибается к ладошке пострадавшего. Возле лучезапястного сустава доктор может прощупать небольшой выступ, даже если произошел перелом кости без смещения. Основными признаками травмы являются:
- сильный болевой синдром, иррадиирующий в ладонь, который становится сильнее, когда пострадавший пытается шевелить пальцем или кистью;
- отечность тканей в области перелома и около него;
- подкожное кровоизлияние, приводящее к образованию гематомы;
- рана и торчащие из нее отломки при открытом типе повреждения.
При многооскольчатой травме происходит укорачивание пальца, его посинение и прижимание к ладони. Если пострадавший попытается пошевелить пальцем, то доктор услышит крепитацию отломков. При возникновении любых симптомов, указывающих на данную травму, следует сразу же оказать пострадавшему первую помощь и доставить его в травматологический пункт.
Как помочь пострадавшему?
Первая помощь предполагает обязательное проведение иммобилизации, причем, чем скорее это будет сделано, тем лучше. Поврежденную конечность следует зафиксировать в стабильном положении при помощи шины (можно использовать любые подручные средства, например, дощечку или сложенный журнал), таким образом, чтобы кисть была чуть разогнута, а пальцы находились в полусогнутом состоянии. После этого следует прибинтовать руку или же подвесить ее на косынку.
В случае открытого перелома, начинать необходимо с остановки кровотечения и обработки раневой поверхности антисептическим средством, а также наложения стерильной повязки, чтобы не допустить дальнейшего инфицирования.
С целью устранения отечности и облегчения состояния пострадавшего к пораженному участку прикладывается холод, ледяной компресс, грелка со льдом. При сильном болевом синдроме можно дать человеку выпить обезболивающий препарат.
Если не обратиться к специалисту, возможно дальнейшее усугубление травматического повреждения, неправильное сращивание костных фрагментов. В таких случаях, пациентов ожидает очень неприятная и болезненная процедура – ломание костей, с последующим наложением гипса или же хирургическое вмешательство! Причем, положительный исход таких процедур гарантировать невозможно, всегда есть серьезная вероятность инвалидности, поэтому лучше проявить бдительность и не рисковать своим здоровьем!
Методы диагностики
Диагностика перелома пятой пястной кости начинается с осмотра потерпевшего врачом – хирургом или же травматологом. Как правило, вывить характер травмы не составляет труда для опытного специалиста.
Однако, с целью постановки точного диагноза и определения разновидности перелома, пациентам назначается обязательное рентгенографическое исследование, позволяющее выявить все возможные сколы и смещения. Рентгеновский снимок делается в трех проекциях.
В случаях внутрисуставного, многооскольчатого перелома, может быть рекомендовано проведение компьютерной томографии или же магнитно-резонансной томографии.
Методы консервативного лечения
Все лечебные мероприятия в случае перелома 5 пястной кости, в первую очередь, должны быть направлены на восстановление целостности костной ткани, нормальное ее функционирование и физиологическое положение. Любые манипуляции осуществляются исключительно под действием местной анестезии, поскольку, в противном случае, высока вероятность болевого шока.
В простых клинических случаях предпочтение отдается консервативному лечению. Специалист путем давления на тыльную кистевую сторону направляет сместившийся костный фрагмент в правильное физиологическое положение, после чего фиксирует конечность, накладывает на кисть гипс. Через несколько недель проводится повторное рентгенографическое исследование, позволяющее отследить динамику, процесс сращивания перелома.
Хирургическое лечение
Хирургические методы лечения назначаются при осложненных переломах со смещением и предполагают госпитализацию пострадавшего. В ходе операции через ногтевую фалангу пациента вводится специальная спица, способствующая скелетному вытяжению обломков.
В наиболее тяжелых случаях проводится хирургическое вмешательство под действием общего наркоза. Кисть разрезается, проводится вправление и сопоставление костных фрагментов. Специалист придает кисти и пальцам правильное положение, после чего вводится спица. В завершение операции накладываются швы и фиксирующая гипсовая повязка.
Основные принципы реабилитации при переломе кисти руки
На каком бы уровне ни возникло травмирование костной ткани, процесс реабилитации заключается в восстановлении работы поврежденных конечностей. На этом этапе требуется решать следующие задачи:
- Устранить застойные проявления.
- Вернуть тонус мышцам и эластичность суставам.
- Вернуть подвижность.
Для того чтобы справиться с поставленными задачами, необходимо проводить целый комплекс мероприятий, к которым относится массаж в сочетании с лечебной физкультурой и физиолечением. Необходимо в ежедневный рацион обязательно включать продукты, в которых есть необходимые витамины и минералы для восстановления костных тканей, или пропить сбалансированный питательный комплекс.
Растирание осуществлять можно дома самостоятельно, самым эффективным средством для восстановления кровоснабжения служит масло кедра. Что касается комплекса упражнений, то таковой в каждом случае подбирается специалистом в зависимости от типа перелома и места его локации. Перед лечебной гимнастикой желательно проводить самомассаж, чтобы подготовить мышцы. Профессиональные массажисты помогают разработать конечность наиболее эффективным способом, но в домашних условиях это делать придется самостоятельно.
Как долго срастаются кости руки
Длительность периода восстановления после перелома руки напрямую зависит от конкретного вида нарушения, общего состояния здоровья пациента, эффективности назначенного лечения.
Основная терапия заключается в обездвиживании конечности при помощи гипсовой повязки. Ее накладывают на срок от двух до четырех недель. После снятия гипса больному назначают обязательную восстановительную программу.
Средняя продолжительность лечения составляет:
- при переломе плечевой кости — четыре месяца;
- шейки плеча — три месяца;
- предплечья — два месяца;
- лучевой кисти — полтора месяца;
- кисти — два месяца;
- пальцев — месяц.
Внимание: на восстановление после суставных переломов потребуется минимум полгода. При повреждениях нервов либо инфекционных осложнениях — несколько лет
После непосредственно лечения потребуется еще 1-1,5 месяца на полную реабилитацию.
Постановка диагноза
Чтобы кость срослась правильно, необходимо назначить пациенту лечение, подходящее именно для этого вида травмы, поэтому доктор должен в процессе обследования поставить точный диагноз. Для диагностики врач делает следующее:
- Собирает анамнез. При поступлении пациента в травматологический пункт, доктор спрашивает, как давно была получена травма, какие присутствуют симптомы, как оказывалась первая помощь и какие принимались обезболивающие препараты.
- Проводит осмотр. При пальпации врач отмечает, есть ли крепитация и присутствует ли патологическая подвижность кости. Доктор может нащупать сместившиеся фрагменты и определить, какая из костей пясти подверглась перелому.
- Выполняет инструментальное обследование. Для постановки точного диагноза необходимо проведение рентгена в трех проекциях. Если есть подозрение на внутрисуставный или многооскольчатый перелом, то проводится магнитно-резонансная или компьютерная томография.
После того как диагноз будет поставлен, пациента направляют на стационарное лечение в отделение травматологии или хирургии.
Меры профилактики
Насытить организм кальцием поможет обычная перемолотая скорлупа куриных яиц.
Помимо средств и методов лечения перелома следует обратить внимание на меры профилактического характера, которые помогут существенно снизить вероятность столь негативных последствий, как утрата функциональных возможностей поврежденной кисти, отечность, болезненность, а также ряд иных. Для того чтобы предупредить перечисленные патологии, рекомендуется начать лечение уже на стадии ношения гипса при лучевом переломе
В качестве основных мер следует назвать:
- Правильное питание. Принимаемая пища – главный источник кальция. Для восполнения в организме недостатка данного вещества рекомендуется увеличить в рационе количество продуктов, богатых кальцием. В их числе, например, злаковые культуры, молочная и кисломолочная продукция, сыры твердых сортов, листовой салат, зелень, свежие овощи и фрукты.
- Потребление оптимального количества жидкости. Обильное питье, при условии отсутствия склонности к отекам, поможет ускорить обменные процессы и, соответственно, стимулировать процессы регенерации тканей. При этом желательно заменить привычный черный чай и кофе напитками на основе натуральных плодов и ягод, а также простой чистой водой.
- Умеренная физическая активность. Прогулки на свежем воздухе, легкие взмахи руками, а также иные варианты физической активности помогут улучшить процессы кровообращения и приток кислорода, а также питательных веществ к поврежденным тканям.
- Прием средств нетрадиционной медицины. Как уже было сказано выше, для обеспечения организма кальцием можно регулярно употреблять яичную скорлупу. Кроме того, рекомендуется использовать средства для наружного применения, способствующие более быстрому заживлению тканей и устранению беспокоящих признаков и дискомфорта.
- Рекомендуется также принимать препараты, обогащенные витамином Д. Указанное вещество принимает непосредственное участие в процессах усвоения организмом кальция, поступающего с употребляемой пищей. Недостаток витамина Д – одна из причин хрупкости и ломкости костной ткани.
Принятые своевременно меры профилактики помогут существенно снизить риск развития осложнений и предупредить побочные эффекты переломов, к числу которых относят болезненность, отеки, отсутствие возможности согнуть кисть или иные проблемы и патологии. Для обобщения сказанного выше необходимо подчеркнуть, что процесс реабилитации после получения перелома лучевой кости не ограничивается периодом ношения гипса, а длится значительно дольше. Для того чтобы предупредить ряд возможных осложнений и в короткие сроки вернуть поврежденной руке прежние способности, следует обязательно нормализовать питание, задействовать методы народной медицины, лечебную гимнастику, физиотерапевтические процедуры и массаж. Особенно актуальными данные меры являются в том случае, если после перелома лучевой кости не сгибается кисть. Совокупное сочетание перечисленных методик позволит существенно сократить период реабилитации, быстро восстановить работоспособность и повысить качество жизни.
Нужно ли разрабатывать руку?
Разработка руки – обязательная мера восстановления периода реабилитации.
Лучевая кость относится к числу наиболее хрупких и тонких, что обусловлено спецификой строения организма. Как правило, повреждения данного элемента костного скелета являются следствием обычного падения и попыток его предупреждения. Особенно риску такого рода подвержены лица, страдающие дефицитом кальция в организме, имеющие заболевания, сопряженные с хрупкостью костей, а также люди преклонного возраста.
К сожалению, даже после снятия гипса период реабилитации не является завершенным, так как после проведения указанной процедуры больной нередко имеет возможность наблюдать следующие неприятные признаки:
- изменение цвета кожных покровов, обусловленные нарушением тока крови;
- появление болезненных ощущений как при совершении привычных действий, так и при нахождении конечности в состоянии абсолютного покоя;
- нарушение подвижности;
- появление отечностей;
- некоторые больные проявляют жалобы на то, что не сгибается кисть после перелома лучевой кости;
- возникновение судорог и ощущения так называемых «мурашек».
Для того чтобы устранить все негативные последствия перелома, восстановить былую подвижность и работоспособность, необходимо задействовать вспомогательные методы лечения. Для восстановления циркуляции гемолимфы в поврежденной конечности рекомендуется применять лечебные средства, выполнять гимнастические упражнения, массаж, делать дополнительные процедуры, которые порекомендует лечащий врач.
Возможные осложнения
Если человеку с «переломом боксера» не оказана своевременная помощь или лечение не было полноценным, то возникает вероятность развития следующих, крайне нежелательных осложнений:
- Повреждение коллатеральных связок.
- Неправильное положение костных фрагментов с сопутствующей асимметрией.
- Нарушения разгибательного механизма.
- Повреждение разгибательного сухожилия.
- Периферическое смещение.
- Деформация пальца.
При открытых переломах, в результате инфицирования, могут развиваться абсцессы, нагноения, сепсис. В результате, пациент может полностью утратить способность нормально работать, двигать поврежденной конечностью. К счастью, достижения современной медицины, при своевременном обращении к специалисту и соблюдении всех врачебных рекомендаций, позволяют избежать развития столь нежелательных последствий.
Особенности восстановления
Лучевая кость верхней конечности имеет свои особенности – она тонкая и довольно хрупкая. При травмировании руки, падении во время гололеда повредить целостность лучевой кости легко. Попытка предотвратить падение и инстинктивное выставление руки вперед с упором ладони приводит к перелому, ведь запаса прочности кости не хватает. У пациентов с дефицитом кальция получаются сложные многооскольчатые переломы.
Можно только представить объемы восстановления, грядущие пациентам после перелома лучевой кости. Вернуться к обычной жизни за несколько дней не получится – внешний вид руки, да и собственные ощущения представляют печальную картину:
- кожа руки приобретает синеватый оттенок, из-за травмирования мелких кровеносных сосудов;
- из-за ограниченного притока крови к руке ощущается онемение, одеревенение при попытках сделать малейшие движения рукой;
- первые движения неуклюжие и сопровождаются болезненными ощущениями;
- заметно визуальное укорочение конечности.
СПРАВКА! Для восстановления функций руки необходимо пройти этап реабилитации, который растягивается на период от двух недель до полутора месяцев.
Работа над поврежденной рукой происходит в домашних условиях, в поликлинике врачи рекомендуют пациентам определенные упражнения и показывают базовые движения для разработки руки. Хирург назначит массаж, делающийся исключительно специалистом клиники.
Реабилитация после перелома считается успешной, если человек смог восстановить функции конечности, имеющиеся до травмы
Это крайне важно для людей, чья профессия связана с особыми навыками и умениями (например, скрипачей)
ЛФК при переломе лучезапястного сустава
Лечебная физкультура, массажи являются основными направлениями лечения и реабилитации после переломов костей. При назначении лечебной физкультуры преследуют следующие цели:
- улучшение кровоснабжение поврежденной области;
- улучшение обменных процессов близлежащих в мягких тканях;
- стимуляция формирования костной мозоли;
- предотвращение формирования контрактур в пораженной области;
- поддержание нормального тонуса мышечной ткани;
- сохранение моторно-висцеральных рефлексов;
- восстановление мелкой моторики и подвижности лучезапястного сустава;
- ускорение восстановления функций поврежденной конечности в полном объеме.
Основными правилами проведения физкультуры являются:
- при ощущении сильного болевого синдрома упражнения прекращаются (комплекс не должен выполняться через боль);
- занятия должны проводиться ежедневно, время занятий должно составлять от 20 минут до 1 часа.
Комплекс упражнений после перелома лучезапястного сустава
Все выполняемые упражнения можно разделить на две группы:
- выполняемые во время иммобилизации;
- выполняемые во время восстановительного периода.
СПРАВКА! Упражнения, выполняемые в период иммобилизации, требуется начинать на 2 сутки после наложения фиксирующей повязки.
В таком положении возможно выполнение следующих видов движений:
- сгибание, разгибание, сведение, разведение 2-4 пальцев;
- упражнения, при которых происходит задействование плечевой и локтевой суставы.
Эти упражнения будут способствовать уменьшению отёчности, снижению болевого синдрома, улучшению кровотока и лимфооттока в повреждённых тканях. Каждое из положений следует фиксировать в течение 15-20 секунд.
СПРАВКА! Рекомендуется перед выполнением комплекса упражнений делать самомассаж пальцев пораженной конечности.
В восстановительный период необходимо выполнять следующие упражнения:
- Исходное положение – ладонь сжата в кулак. Требуется выполнять сгибания и разгибания в лучезапястном суставе. Выполнять 10-12 раз.
- Исходное положение – пальцы ладони вытянуты, сомкнуты. Необходимо производить отведения, приведения большого пальца к ладони. Выполнять 10-12 раз.
- Для данного упражнения необходим эспандер. Исходное положение – эспандер зажат в руке. Требуется производить сжатия эспандера. Повторять 15-20 раз.
- Исходное положение – эспандер зажат между 4 пальцами и большим пальцем. Необходимо сжимать эспандер посредством пальцев. Повторять 15-20 раз.
- Исходное положение – пальцы ладони вытянуты, сомкнуты. Требуется производить отведения и приведения в лучезапястном суставе.
Дополнительные упражнения для разработки лучезапястного сустава после перелома
Существуют упражнения, которые можно производить в тёплой воде:
- Исходное положение – ладонь сжата в кулак. Производятся вращательные движения по и против часовой стрелки. Повторять необходимо 10-12 раз.
- Исходное положение – ладонь лежит на дне ёмкости с водой. Требуется поочередно поднимать пальцы руки. Повторять 6-8 раз.
- Кисть находится в воде. Требуется совершать повороты кистью, касаясь ладонью или тыльной поверхностью дна ёмкости.
На твёрдой поверхности можно выполнять следующие упражнения:
- Исходное положение – кисть лежит на столе вниз ладонью. Поочередно совершаются удары пальцами о столешницу. Повторять 10-12 раз.
- Исходное положение – кисть на столе ладонью вниз, сверху прижата другой рукой. Требуется постепенно сдвигать и раздвигать пальцы. Повторять 8-10 раз.
- Исходное положение – рука стоит вертикально на локте. Необходимо поочередно совершать щелчки большим и другими пальцами руки. Выполнять 10-12 раз.
- Исходное положение – аналогично предыдущему. Необходимо надавливать большим пальцем на подушечки остальных пальцев. Выполнять 10-12 раз.
- Исходное положение – руки стоят вертикально на локтях, ладони соединены. Требуется совершать плавные повороты в лучезапястном суставе вправо и влево.
Упражнения, которые выполняются при наложенном на руку гипсе
Самым простым и все же действенным упражнением является перекатывание в руках металлических шаров диаметром около 5 см. Приобрести такие «тренажеры» можно в магазинах, где продается все для медитаций.
Если наложенный на руку гипс позволяет двигать пальцами – делайте это, сжимайте и разгибайте их в фалангах. Такие действия помогут поддерживать кровообращение на необходимом уровне, и воспрепятствует возникновению мышечной атрофии в травмированной конечности.
Также эффективны следующие упражнения:
- Пальцы поврежденной верхней конечности разводите в стороны на столько, насколько сможете, а затем снова сжимайте их вместе. Проделывайте ежедневно около 20 упражнений.
- Разминайте руку при помощи эспандера. Но здесь нельзя торопиться и начинать нужно лишь с нескольких слабых попыток сжать тренажер. Ежедневно постепенно увеличивайте количество сжиманий, прикладывайте большую силу и попробуйте выполнять разрабатывающие движения скорее.
- Поочередно каждый палец поврежденной конечности соединяйте подушечка к подушечке с большим пальцем этой же руки, словно рисуя круг.


Периоды реабилитации
Главная задача реабилитации – восстановление полного объёма движений. Реабилитационный процесс делится на специфические периоды, требует комплексного подхода. При этом необходимо выполнения больным всех рекомендаций лечащего врача.
Выделяется три периода реабилитации при восстановлении после перелома руки:
- Иммобилизационная – в это время больной находится в гипсе. По времени этот реабилитационный период длится при разных переломах до трёх месяцев. В это время выполняются движения в суставах, не подвергшихся иммобилизации.
- Функциональная — это стадия длятся до полугода после снятия гипса, в ней проводится активная разработка мышц и суставов верхней конечности. Сначала тренируют базовые движения, функции конечности. Затем посредством упражнений больному восстанавливают возможность совершать сложные координированные действия, расширяют объём движений в суставах.
- Тренировочная – продолжают развивать двигательный объём в суставах и активные движения. Восстанавливают трудоспособность пациента. Применяют упражнения с утяжелением. ЛФК продолжают до года после перелома.
Качественная, своевременная реабилитация и ЛФК помогает больному восстановить трудоспособность, сохранить качество жизни.
Разработка на этапе иммобилизации
Начинают разрабатывать руку на второй день после репозиции костных отломков. Упражнения выполняют в щадящем режиме на участках свободных от гипса. И проводятся только при отсутствии противопоказаний, если они не усиливают боль и отёчность. Простейшие упражнения позволяют улучшить кровообращение в мышцах и костях. Они предотвращают развитие мышечных атрофий и контрактуры суставов.
Как разрабатывать конечность в гипсе
Упражнения ЛФК проводятся на участках верхних конечностей, которые неограниченны гипсом.
Для реабилитации применяют упражнения ЛФК:
- Полезным упражнением считают применение кистевого тренажёра в виде шаров диаметром пять сантиметров.
- Пальцы, сломанной руки, с силой сжимают в кулак, снова разжимают и разводят максимально в стороны. Повторяют упражнение двадцать раз в сутки.
- Разминание кости при помощи специального экспандера. Интенсивность, скорость выполнения и силу упражнения наращивают постепенно.
- Соединение в кольцо по очереди подушечки каждого пальца с большим пальцем.
Упражнения ЛФК проводят осторожно, постепенно наращивая нагрузку. Если они усиливают боль, занятия прекращают
Упражнения ЛФК, которые выполняются после снятия гипса
После снятия гипсовой повязки приступают к ЛФК с разработкой верхней конечности в полную силу. Упражнения ЛФК выполнять можно только после снятия отёка. В гипсе в тканях нарушается кровообращение и лимфоотток. Это снимается тренировками руки.
Применяются следующие упражнения
- В первые дни после снятия гипсовой повязки конечность растирают, затем разминают мышцы. Эти действия выполняют в течение трёх дней. В это время выполняют упражнения для кистей.
- Потом выполняются расслабляющие упражнения ЛФК. Проводят маятникообразные движения руками, покачивания, отведение надплечий. Затем сводят, разводят лопатки.
- Конечность сгибают и разгибают во всех суставах при помощи здоровой руки. Затем разжимают и сжимают пальцы.
- Через две недели после снятия гипса выполняются упражнения ЛФК с тренажёрами, спортивными снарядами. Полезны различные поролоновые губки для сжимания, мячи, гимнастические палки. Для разработки кисти полезно разминание пластилина.
- После расширения безболезненного объёма активных движений без нагрузки, выполняют активные нагрузочные упражнения с различными утяжелениями.
Разработку и лечение руки после снятия гипса проводят до года, при этом стремятся к обретению полного объёма движений
Восстановление после перелома руки со смещением проводят очень осторожно, при этом следят, чтобы не было смещения отломков
В домашних условиях
Продолжают разрабатывать руку в домашних условиях после перелома. Перед этим выполнению движений самостоятельно больной должен научиться под руководством опытного инструктора
Упражнения ЛФК надо выполнять осторожно. Они не должны вызывать сильный дискомфорт и боль
Нельзя выполнять упражнения с опорой на больную руку, а также подтягивания и отжимания.
Реабилитационный период
После обездвиживания конечности происходит частичная атрофия мышц, из-за этого нарушается двигательная деятельность руки. Для того, чтобы восстановить ее прежнюю работоспособность и назначается начало реабилитационного периода. Задача его заключается в восстановлении подвижности запястья руки после перелома и основана на выполнении таких процедур:
- лечебная физкультура;
- физиотерапия;
- уменьшение нагрузки;
- правильное питание;
- разрабатывающий массаж.
Как разрабатывать руку в домашних условиях должен объяснять лечащий врач. Он создает список всех рекомендаций, в котором он описывает правила питания и необходимые для реабилитации руки упражнения.


ЛФК
Процедура лечебной физкультуры можно проводить сразу же после снятия гипсовой повязки. Курс ЛФК делят на два основных этапа. Первый заключается в растягивании мышц, а второй – в их укреплении с помощью специальный физических упражнений. Желательно заниматься данной физкультурой под контролем у специалиста, но если такой возможности нет, то врач расписывает ряд рекомендованных упражнений, которые должны совершаться каждый день на протяжении месяца. Такие занятия можно проводить по несколько раз в день, главное, чтобы конечность сильно не перенапрягалась, и при этом не возникли болевые ощущения.
Список основных упражнений первого этапа:
- несильно интенсивный массаж запястья;
- вращательные движения кистью в одну, а потом в другую сторону;
- сгибание и разгибание руки в области ладони;
- движение кистью вверх-вниз;
- давление на пальцы во время их разгибания и сгибания.
ЛФК для запястья после перелома на втором этапе:
- сжатие в кулак травмированную кисть руки;
- круговое движение запястья в обе стороны;
- регулярное разведение пальцев поврежденной конечности и сведение их на прежнее место;
- движение ладонью вверх-вниз.
После того, как конечностью станет легче управлять и она станет значительно сильнее – можно переходить на более тяжелые упражнения и использовать для этого различные вспомогательные предметы, например, губку, а в дальнейшем – эспандер.
Если при полном сжатии эспандера болевые ощущения отсутствуют, то это значит, что можно переходить на более сложные упражнения:
ладони обеих рук прижимаются друг к другу, и начинается их вращение, указывая пальцами то к себе, то от себя
Такое упражнение следует проводить максимально осторожно, чтоб не усугубить ситуацию
в поврежденную руку берется гантель, которая не превышает 2кг и начинаются также вращательные движения кистью или она поднимается и опускается.. https://www.youtube.com/embed/IthheNmZrjo


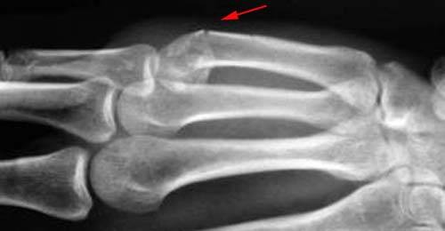
Диагностика переломов пястных костей
Любая значимая травма кисти нуждается в осмотре травматолога и рентгенографии. Пациент может подумать, что это ушиб, но возможен перелом, например, ладьевидной кости, которая может создать очень много проблем. Банальная рентгенография не займет много времени, но пациент уже будет точно знать ушиб это или перелом.
Опрос пациента: большинство переломов являются прямым следствием травмы. Предъявляет жалобы на боль, отек, ограничение движений, подкожное кровоизлияние в поврежденной руке. Как правило, пациент четко подтверждает факт травмы, и объяснят, как он ее получил. Исходя из этого, врач уже может предположить диагноз и место перелома. Пациент также может жаловаться на онемение, если кровоснабжение нарушается, вследствие сдавления сосудов отеком после серьезной обширной травмы (синдром сдавления или компартмент синдром).
Осмотр травматолога: обследование может выявить видимые деформации, если перелом с явным смещением. Если смещение небольшое или его вовсе нет, анатомия кисти может и вовсе быть нормальной. Локальный отек и болезненность при пальпации (прикосновении) будет в проекции перелома. Возможно снижение силы хвата.
Так же при осмотре врач обращает внимание на возможную ротацию пальцев (поворот вокруг оси). Оценить этот момент можно при сгибании пальцев в кулак. Пальцы должны выстроиться в ряд без разворота и ногти должны быть параллельными.
Инструментальные методы обследования:
Рентгенография. Для диагностики перелома пястной-(ых) кости выполняется рентгенография в трех проекциях: прямой (переднезадней), боковой (сагиттальной) и косой (3/4).
КТ (компьютерная томография) используется в сложных случаях, когда перелом многооскольчатый или внутрисуставной, а так же для подтверждения диагноза несращения перелома.
Осложнения перелома и их причины
Падение – самая распространенная причина повреждения лучевых костей рук.
В корне ошибочным является мнение относительно того, что после получения перелома лучевой кости достаточно наложить гипс, после снятия которого поврежденная конечность вновь обретет былую подвижность и функциональные способности.
Даже при принятых своевременно мерах оказания первой помощи, в процессе реабилитации, особенно в том случае, если указанный период составляет немалое количество времени, мышечные ткани несколько утрачивают эластичность и атрофируются, что приводит к частичной утрате работоспособности. А ведь не являются исключением и разнообразные осложнения, которые могут быть следствием разнообразных факторов.
Физиологически и возрастные особенности организма больного, наличие сопутствующих заболеваний и травм, отсутствие культуры питание и наличие вредных привычек, а также множество иных факторов могут привести к тому, что период восстановления затянется на длительное время и будет сопряжен с рядом осложнений, наиболее распространенными среди которых являются:
| Наименование. | Характеристика и особенности. | 
| Инфицирование открытых раневых поверхностей. | Подобное случается преимущественно на фоне открытых переломов и является следствием занесения инфекции в открытые раны. Результатом инфицирования может стать нагноение и последующее отмирание тканей. для предупреждения инфицирования рекомендуется применять для перевязки только стерильные материалы. | 
| Неправильное сращение кости. | При нарушении правил фиксации кости при накладывании гипса возможно неправильное их срастание. Данное осложнение влечет за собой появление болезненных ощущений и дискомфорта. После снятия гипса возможны такие осложнения, как частичная утрата трудоспособности, отсутствие возможности сгибания кисти или сжатия ладони в кулак, нарушение подвижности и множество других. | 
| Образование контрактуры. | Осложнение сопряжено с патологическими изменениями, затрагивающими мышечные и жировые ткани. Следствием данной патологии является ограничение подвижности поврежденной конечности. | 
| Жировая эмболия. | Достаточно редкая разновидность возможных осложнений, развивающаяся вследствие закупорки протоков сосудов частицами жировой ткани и нарушения процессов кровообращения. Преимущественно наблюдается на фоне обширных повреждений костной ткани. | 
| Патологические изменения мышечных тканей. | На фоне локальных повреждений возможно травмирование мышечных тканей, которые впоследствии утрачивают жизнеспособность и отмирают. Для предупреждения дальнейших осложнений, например, нагноения, отмершие ткани следует удалить оперативным путем. | 
К сожалению, даже принятые своевременно и проведенные квалифицированно меры оказания больному первой помощи, заключающиеся в наложении гипса и проведении иных манипуляций, не являются гарантом успешного выздоровления, что наглядно подтверждает фото и видео в этой статье. Для того чтобы избежать тяжелых последствий, больному вменяется вести здоровый образ жизни и максимально исключить негативные факторы, к числу которых, например, относится употребление напитков, содержащих алкоголь, и курение.






 

 
 
 
							
							
						 
							 
